В.П. Широбоков, доктор мед. наук, академік НАН України, академік НАМН України, завідувач кафедри мікробіології, імунології та вірусології НМУ ім. О.О. Богомольця, м. Київ
Д.С. Янковський, доктор біол. наук, генеральний директор НПК “О.Д. Пролісок”, м. Київ
Г.С. Димент, канд. техн. наук, директор наукового центру НПК “О.Д. Пролісок”, м. Київ
"І створив Бог людину з глини, і вдихнув у неї дихання,
і стала людина живою душею".
З Книги Буття
Участь глинистих мінералів у зародженні життя на Землі та формуванні біосфери вже протягом багатьох років активно обговорюється еволюціоністами. Глинам, що широко представлені на поверхні Землі з перших етапів її формування і структурно нагадують органічні сполуки, надається все більше значення в сучасних уявленнях про походження життя. Припускається, що всі живі організми, починаючи з первісних прокаріотів (без'ядерних мікроорганізмів — бактерій і архей), в процесі еволюції набули генетичну залежність від глинистих мінеральних сполук.
Існує думка, що навіть функція спадкового передавання ознак, нині виконувана нуклеїновими кислотами, спочатку залежала від "неорганічних генів", що являють собою матриці для синтезу молекул, побудовані на основі глинистих алюмосилікатів.
Скажімо, шотландський хімік А. Дж. Кернс Сміт стверджує, що першим аналогом зберігання і передавання спадкової інформації на Землі був саме "глиняний ген".
Потрапляючи між шарами глинистих часток, органічні молекули взаємодіяли з ними і переймали спосіб зберігання інформації та росту, тобто проходили своєрідне навчання. Мінерали і "протожиття" якийсь час мирно співіснували, але потім стався розрив ("генетичний захват"), в результаті якого життя покинуло мінеральну оселю і почало свій власний розвиток. Однак сформований еволюційний зв'язок живих організмів з глинистими мінералами зберігся до теперішнього часу.
Справді, більшість глинистих мінералів схожі за своєю структурою на біополімери. Вони складаються з величезного числа шарів, поєднаних між собою слабкими хімічними зв'язками (рис. 1).

Рис. 1. Структура шарів глинистих мінералів (http://macroevoluyion.narod.ru/glina.htm)
Така мінеральна стрічка росте сама по собі. При цьому кожен наступний шар з великим ступенем точності повторює попередній, подібно до спадкоємності ознак у живих організмів. У процесі реплікації мінеральних ланцюгів іноді все ж трапляються дефекти, аналогічно до мутацій у біологічних генах. Дефекти в кристалах можуть призводити до утворення безлічі стабільних альтернативних конфігурацій, що є необхідною умовою для збереження інформації під тиском зовнішніх умов (рис. 2).

Рис. 2. Найпоширеніші дефекти кристалів: незайняті місця в решітці (а); заміщення окремих елементів або доменів (b); крайові дислокації (с); рухомі дислокації (e, f); зернисті межі між решітками (е). У подвійних кристалах (f) порізному орієнтовані їх частини мають спільну площину взаємодійних складників (стрілки). У деяких кристалах (g) великі домени мають один і той самий склад, але різняться упаковкою складників їхніх елементів
(http://macroevoluyion.narod.ru/glina.htm)
До унікальних властивостей кристалів глини слід віднести їхню здатність до структурної самоорганізації, зростання та перерозподілу зарядів на площинах. Саме завдяки цим особливостям, глинам притаманні такі характеристики як ізоморфна ємність, дефектність, енергетична гетерогенність і каталітичні властивості, які, в свою чергу, наділяють кристали глини здатністю до зберігання та передавання інформації, тобто основними властивостями біологічних генів. Це забезпечує їм можливість у повному розумінні цього слова бути специфічними кристалічними генами, на яких еволюція могла побудувати організовану систему життя, наділивши її багатьма якостями вихідних кристалічних матриць, які в ході багаторазового копіювання та самоорганізації на певному етапі формування біосфери Землі могли бути заміщені живою органічною речовиною.
При розгляді ролі глинистих мінералів у зародженні й еволюції життя на Землі великого значення надають енергетичним взаємодіям між мінералами й органічною речовиною. Оскільки біосфера порівняно з іншими земними оболонками відрізняється найвищою енергетичною щільністю, біосферна органічна речовина вже на ранній стадії утворення первинних біополімерів мала вищий енергетичний потенціал, ніж неорганічна частина земної кори. При взаємодії з мінеральною матрицею, яка служить донором електронів, живі організми отримують від неї енергетичне підживлення. Учені порівнюють цей донорно-акцепторний механізм взаємодії зі своєрідним біологічним реактором, який забезпечує формування та розвиток життя на мінеральній кристалічній матриці. Причому, виникаючий при цьому ентропійний градієнт спрямовує весь процес як на вдосконалення синтезованої структури, так і на паралельну деструкцію кристалічної матриці.
Аналіз можливих мінералів, які могли би стати матрицями-генами в передбіотичний період земної історії, приводить дослідників до висновку про те, що функцію матриці, найімовірніше, виконували глинисті алюмосилікати, що характеризуються шаруватою структурою.
Шаруваті мінерали здатні легко сорбувати органічні сполуки, здійснювати їх полімеризацію й інші модифікації. Органічні молекули можуть зручно розташовуватися не тільки на поверхні пластинок глинистого мінералу, але й у їхньому міжшаровому просторі. Шаруваті силікати до того ж мають високу енергетичну щільність, тобто в донорно-акцепторній взаємодії здатні енергетично підживлювати початок життя. Таким чином, "глиняний" ген міг стати основою походження життя на нашій планеті.
Потужним зовнішнім джерелом енергії, що мала використовуватися для створення первинних органічних сполук, могла служити енергія сонячного ультрафіолетового випромінювання, а також енергія, отримувана в результаті активної вулканічної діяльності, характерної для давньої Землі.
Весь шлях розвитку протожиття, мабуть, складався з повільного руху від перших найпростіших полімерів, утворених на глиняній матриці, до складніших органічних конструкцій. Не виключено, що першими біополімерами були молекули прото-РНК. Спочатку вважали, що протогеном могла бути молекула ДНК, оскільки вона зберігає інформацію про свою структуру та її модифікації. Однак, ДНК не здатна самостійно, без сприяння РНК і білків, передати інформацію іншим поколінням. Коли в другій половині ХХ століття відкрили нові властивості РНК, то виявилося, що ця молекула більше підходить на головну роль в історії походження життя. Молекула РНК простіша за своєю будовою, ніж ДНК. Вона коротша і складається з однієї нитки. РНК має властивості каталізатора, тобто здатна проводити вибіркові хімічні реакції, наприклад з'єднувати між собою амінокислоти, і здійснювати власну реплікацію. У сучасних клітинах каталітичну функцію, притаманну клітинам всіх живих організмів, виконують, переважно, білки. Можливо, ця здатність перейшла до них із часом, а колись це робила РНК.
Одним із підтверджень еволюції життя на глиняних матрицях з участю молекул РНК, як первинних біополімерів, є результати низки експериментів, які показали, що на одному з найпоширеніших глинистих мінералів — монтморилоніті, можуть безпосередньо синтезуватися молекули рибонуклеїнової кислоти. Причому, монтморилоніт може не тільки служити матрицею для синтезу молекул РНК, але і здатний каталізувати реакцію полімеризації нуклеотидів, тобто виконувати функцію білкових ферментів. Тому при відповідних умовах синтез коротких олігонуклеотидів міг відбуватися безпосередньо на первинних глинах, достатньо поширених у той час на поверхні Землі, у складі яких переважав монтморилоніт. Потім олігонуклеотиди могли подовжуватися і ставати матрицею для синтезу найпростіших білків. РНК з каталітичними функціями (рибозими) збереглися в геномах сучасних бактерій, архей, бактеріофагів, а також у геномах органел і ядер еукаріотичних клітин у вигляді інтронів І групи. Це коротколанцюгові молекули РНК, які мають каталітичну активність, що нагадує активність ендонуклеаз, і здатні до зворотньої транскрипції.
Імовірно, білок також з'явився до виникнення клітини в первинному бульйоні або в плівковому середовищі на глинах разом з первинною РНК. З появою білків до них поступово перейшла каталітична функція, яка від початку реалізовувалася молекулами РНК (рибозимами). Таким чином, вже на ранній стадії розвитку життя протобіотична субстанція придбала ферментні системи, перш за все, протоглобулярні білки з їх активними центрами, які зчитували інформацію зі структури кристалічної матриці, що розглядається як одна з найважливіших революційних подій в еволюції біосфери. Знаменита тріада "ДНК ↔ РНК ↔ білок", імовірно, сформувалася близько 3,6 млрд. років тому, тобто на 100 млн. років раніше за появу перших прокаріотичних клітин.
Вельми важливим є питання появи клітинної мембрани — невід'ємної частини клітини, яка відокремлює її від зовнішнього середовища і бере участь у численних процесах життєдіяльності. У цьому контексті викликають інтерес недавні експерименти американських учених із Прінстонського університету, які продемонстрували, що такі необхідні компоненти для виникнення життя, як молекули РНК і клітинна мембрана, можуть об'єднуватись також завдяки глині. Між негативно зарядженими шарами кристалів монтморилонітової глини утворюється позитивно заряджений прошарок, в якому інтенсивно накопичуються і з'єднуються в довгі ланцюжки молекули РНК. Дослідники експериментально підібрали умови, в яких активно відбувався процес утворення міцних оболонок із глини навколо бульбашок повітря у водному середовищі. Проведені експерименти продемонстрували, що оболонки утворюютьсяся спонтанно, коли тонкі шари глинистого мінералу (монтморилоніту), що містяться у воді, "обліплюють" маленькі бульбашки повітря. Якщо після цього відбувається контакт глиняних бульбашок з рідиною, що має нижчий поверхневий натяг, наприклад спиртом, жирними кислотами або іншими органічними сполуками, то ця рідина починає проникати всередину бульбашки, змочуючи зворотний бік глиняних пластинок, що утворюють оболонку. Таке змочування призводить до того, що повітря всередині бульбашок розчиняється в рідині, залишаючи міцну кулясту глинисту оболонку у водному середовищі (рис. 3).

Рис. 3. Глинисті везикули (http://elementy.ru)
Дослідникам вдалося експериментально підтвердити потужні каталітичні властивості мінералу: монтморилоніт у сто разів прискорював процес утворення везикул із простих компонентів жирних кислот. Сформовані везикули часто містять частинки глини і можуть рости, поглинаючи ще більше компонентів жирних кислот.
Було показано, що глиняна оболонка має напівпроникність, яка є найважливішою властивістю мембран живих клітин. Вона може пропускати всередину невеликі органічні молекули, не дозволяючи вийти назовні продуктам їхньої взаємодії. Внутрішній вміст бульбашок виявляється добре захищеним від зовнішнього середовища, навіть якщо вони відрізняються рухливістю і постійно змінюються, як це спостерігається в природі. Вважають, що такі структури могли лягти в основу зародження життя у водних екосистемах Землі мільярди років тому.
Враховуючи здатність глинистих мінералів прискорювати процеси взаємодії органічних молекул, зокрема процеси, що протікають за участю РНК, можна припустити, що на зорі виникнення життя глиняні оболонки могли виконувати подвійну функцію, захищаючи тендітні перші "цеглинки життя" від руйнування і допомагаючи їм вступити у взаємодію.
Тепер ученим належить глибше зрозуміти процеси взаємодії між органічними молекулами та стінками глинистих бульбашок і довести, що такі структури справді трапляються в природі. Нині достеменно невідомо, чи брали ці бульбашки з оболонкою з глини участь у зародженні життя на Землі, однак той факт, що вони дуже міцні та володіють можливістю прискорювати біологічні процеси, дозволяє це припустити.
З появою перших прокаріотів у географічній оболонці Землі почалося становлення біосфери (сфери життя), тобто сформувався простір, освоюваний живими організмами.
Завдяки високій геохімічній енергії прокаріотів, висока продуктивність біосфери була забезпечена вже на початкових етапах її еволюції. У процесі подальшої еволюції біосфера розширювала свої кордони, поки не охопила всю оболонку планети. Результати функціонування стародавньої прокаріотичної біосфери виявилися грандіозними з геохімічного та енергетичного поглядів. Прокаріоти не тільки визначили подальшу еволюцію біосфери, але і створили умови для розвитку і збереження інших, високоорганізованих форм життя. Однак мікроорганізми не поступилися своїм домінуванням. Вони й у наш час залишаються основою біосфери та учасниками усіх ключових процесів, що відбуваються як у життєдіяльності організмів, так і в інших сферах планети, включаючи формування та перетворення мінералів.
Незважаючи на те, що біостартова роль мінералів у появі перших живих організмів на Землі не має безперечних доказів, тісний зв'язок між біогенною і неорганічною ланками біосфери заперечувати неможливо. Тому участь глин у процесі біогенезу серйозно розглядається багатьма вченими. Вважають, що структурна відповідність і сумісність деяких глинистих мінералів і макромолекулярних біосистем є критерієм відбору мінералів, органічно сумісних із живими тканинами і здатних вбудовуватися в живі системи, утворюючи органомінеральні конструкції. З цього погляду участь глинистих мінералів у формуванні первісних біогенних субстанцій видається вельми правдоподібною. Структурна спорідненість мінералів і біомолекул, зокрема, могла в процесі еволюції призвести до формування захисних утворень типу раковин і хітинових покривів, внутрішніх опорних скелетів у стародавніх еукаріотичних організмів.
Про докладний механізм еволюції життя на Землі стверджувати достатньо складно, оскільки практично неможливо простежити весь, надзвичайно тривалий, шлях найскладніших перетворень безперервно взаємодіючих неорганічних і органічних систем, які мали місце в процесі формування й еволюції біосфери. Однак міцний екологічний і фізіологічний зв'язок з мінералами багатьох мікроорганізмів, що проживають у глинах, свідчить про реальність зародження і розвитку життя на мінеральних матрицях.
Припущення, що прокаріоти були включені в геохімічний кругообіг планети практично з самого початку її формування, базуються на тому, що вік перших осадових порід орієнтовно становить близько 4 млрд. років, а поява перших клітинних організмів датується не пізніше, ніж 3,5 млрд. років тому. Цьому висновку не суперечить "глиняна" гіпотеза походження життя, оскільки за 500 млн. років цілком могла завершитися стадія біогенезу від перших "глиняних" генів до перших клітинних форм життя.
Багато з прокаріотів характеризуються міцними екологічними та фізіологічними зв'язками з глинами, які, очевидно, сформувалися ще в первісні часи. Одним із підтверджень цьому припущенню є результати досліджень глин віком 500800 млн. років, які показали істотну зміну їх мінерального складу, що дослідники пов'язують із життє діяльністю прокаріотичних організмів, які рясно заселяють ці глини, а також виявленням серед цих організмів різноманітних реліктових форм. Причому, кількість хімічних різновидів глин різко зросла в період бурхливого розвитку прокаріотичного світу.
Глини, що зіграли істотну роль у виникненні життя на Землі, є цінним природним джерелом кремнію. Вони, ймовірно, і забезпечили важливе місце цього мінерального елемента в функціонуванні протоорганізмів. Відомо, що кремній бере участь у життєвому циклі силікатних бактерій і прокаріотів, що живуть у гарячих джерелах. Існують мікроорганізми, що синтезують у своїх клітинах органічні сполуки кремнію, які містять зв'язки Si-OC, Si-NC і навіть Si-C. Ці мікроорганізми також цікаві своєю здатністю заміщати в біомолекулах фосфор на кремній, що дає підстави припускати можливість "безфосфорного життя", тобто існування стародавніх кремнієвих аналогів нуклеотидів (кремнієвих ефірів нуклеозидів) та кремнієвмісних нуклеїнових кислот (ДНК і РНК).
Дослідження деяких прокаріотів, що мешкають у глинистих мінералах, виявили низку цікавих закономірностей, що підтверджують еволюційний зв'язок живих організмів із глинами. З одного боку, виявлена структурна орієнтація каталітичних центрів у ферментах бактеріальних клітинна структури тих мінералів, з якими вони функціонально пов'язані. Це дозволяє стверджувати про спеціалізацію ферментів у ході еволюції системи життя, яка спочатку протікала на глиняній основі, та її генетичну з ними спорідненість. З іншого боку, експериментально простежений життєзабезпечувальний взаємозв'язок бактерій із певним видом мінерального субстрату, з його енергощільністю, кристалоструктурними та електрофізичними властивостями. Цей зв'язок не може бути випадковим. Він служить відображенням початку життя на мінеральних матрицях.
Довгий час утворення і перетворення глинистих осадових порід і мінералів пов'язувалося тільки з абіотичними факторами. Дослідження останніх років показали, що прокаріоти можуть брати участь у всіх процесах, пов'язаних з появою і трансформацією глинистих мінералів, причому, у присутності мікроорганізмів хід процесів значно прискорюється.
Аналіз результатів досліджень, проведених у цьому напрямку, дозволяє зробити висновок, що в процесі еволюції прокаріоти зуміли скопіювати всі можливі абіотичні реакції, пов'язані з глинистими мінералами. Причому, за участю мікроорганізмів ці реакції протікають, щонайменше, на порядок швидше. У цьому зв'язку прокаріотичні мікроорганізми розглядають як живий каталізатор геохімічного кругообігу глинистих мінералів. Прокаріоти "навчилися" успішно відтворювати різноманітні хімічні процеси, що протікають в абіотичному світі, але з використанням еволюційно придбаних ними органічних каталізаторів.
Показано, що мікроорганізми беруть участь в утворенні глин з метаморфічних і осадових порід, утворенні глин із розчинів, оборотних переходах різних типів глинистих мінералів, консолідації глинистих мінералів в осадові породи (рис. 4).

Рис. 4. 1 — руйнування скельних порід з утворенням глинистих
мінералів; 2 — взаємне перетворення глинистих мінералів;
3 — розчинення глин і вихід катіонів і кремнієвих оксидів у розчин;
4 — кристалізація колоїдів та іонів у мінерали із розчинів;
5 — розчинення скельних порід; 6 — утворення глинистих мінералів
із розчинів; 7 — консолідація глинистих осадів
(за Наймарк і співавт., 2009)
Здатність мікроорганізмів синтезувати глини у водних системах дозволяє говорити про існування в природі високопродуктивної "мікробіологічної фабрики" з виробництва глинистих мінералів. Спеціально проведені експерименти, в яких різні мікробні спільноти вирощували в розчинах, що містять підвищені концентрації іонів кремнію і різних металів, показали, що через три тижні інкубування на поверхні бактеріальної плівки утворюється шар алюмосилікату. Детальніший аналіз отриманих результатів установив, що на клітинних стінках бактерій спочатку осаджується кремній, потім іони алюмінію, заліза і магнію.
Показано також, що при оптимізації умов на спеціально оброблених клітинних стінках спорових бактерій виду Bacillus subtilis може осідати у вигляді тонкозернистого осаду до 90% кремнію з розчину. Таким чином, в утворенні алюмосилікатів можуть брати участь не тільки живі клітини бактерій, але і клітинні стінки інактивованих мікроорганизмів. Ініціює процес хімічна реакція — специфічне утворення комплексу кремнію з аміногрупами пептидогліканів за рахунок електричних зарядів цих груп. У результаті на клітинних стінках бактерій збирається необхідний набір елементів для синтезу глинистих мінералів і формується аморфний або слабковпорядкований алюмосилікатний матеріал. Кристалізація твердої речовини на поверхні клітин енергетично менше залежний процес, ніж кристалізація на межі твердих тіл і розчинів. Тому бактеріальна клітинна стінка виступає як каталітична поверхня для кристалізації частинок мінералів. Цікаво, що процеси з'єднання колоїдних частинок силікатів і металів можуть відбуватися і без допомоги бактерій. Однак у цьому разі для кристалізації алюмосилікату потрібне збільшення температури до 200-390 °С, тиску — до 260 атм і створення високої кислотності середовища. Бактерії здійснюють той самий процес при кімнатній температурі і звичайному атмосферному тиску.
Бактеріальний синтез глинистих мінералів постійно відбувається в природних умовах. Зокрема, він виявлений при вивченні ціанобактеріальних матів антарктичних озер, сульфатсинтезуючих мікроорганізмів камчатських гідротерм і мікробних спільнот інших природних екосистем. Виявилося, що прісноводні бактерії несуть на стінках своїх клітин глинистий матеріал, що відрізняється за складом від глинистої суспензії навколишнього середовища. Розмір мінеральних частинок на клітинах бактерій виявився істотно меншим, ніж у водній суспензії. Форма і хімічний склад частинок на кожній бактеріальній клітині однієї екосистеми були приблизно однаковими. Водночас, мінеральний склад глинистого матеріалу, що кристалізувався на клітинних стінках бактерій, які мешкають у різних водних системах, відрізнявся: в одних випадках виявляли шамозит, в інших — смектит або іліт.
Процес аутогенного осадження глинистих мінералів у присутності бактерій, що сприяють розкладанню органічної речовини, докладно описаний на прикладі річки Ріо-Солімос (Бразилія), у водах якої рясніють мул і розчинені неорганічні речовини та присутня багата бактеріальна флора. Дослідники показали, що на поверхні клітин бактерій цього природного біоценозу активно осаджуються катіони заліза, які потім служать місцем формування і росту тонкої аутогенної мінеральної FeAlфази силікатів різного складу. Фізико-хімічна форма силікатів коливалася від майже аморфної гелеподібної структури до кристалічної фази. Гелеподібна структура за складом близька до шамозитової глини (залізистий хлорит), а кристалічна фаза має каолінітовий склад. У результаті відбувається часткова або повна мінералізація бактеріальних клітин і здійснюється перехід розчинених у воді сполук в осад з утворенням глинистих з'єднань, переповнених залишками мінералізованих бактеріальних тіл.
Потужний осаджувальний ефект природних бактерій при утворенні глинистих осадових порід пояснюють прилипанням частинок до полісахаридного матриксу, що оточує клітини. В результаті злипання формуються глинисті агрегати діаметром близько 25 мкм. Встановлено, що процес осаджування прискорюється в присутності тривалентного заліза, яке відіграє роль посередника в процесі зв'язування бактеріальних стінок із глинистими частками, утворюючи агрегати глинистих часток. Інші катіони (Ca, Na, Mg, K) також виявляють спорідненість до негативно заряджених груп полісахаридного матриксу клітинних стінок і каталізують осадження глинистих частинок. Припускають, що осадження кремнезему і шаруватих силікатів контролюється не стільки життєдіяльністю бактерій, як органічним субстратом їхніх клітин. Останній сам по собі може запускати процес осадження кремнезему та інших хімічних компонентів. При цьому можуть формуватися структури, подібні строматолітам, утворюватись кременисті породи, морфологічно схожі з фосилізованими ціанобактеріальними побудовами.
Бактерії і створювана ними органічна речовина сприяють накопиченню потужних товщ глинистих порід шляхом утворення різноманітних алюмосилікатних мінералів (монтморилоніту, смектиту, іліту, хлоритів, каолініту та ін.).
Досить цікавою є роль глинистих мінералів у фосилізації та збереженні у копальному стані мікроорганізмів. Так, у глинистих породах віком 2,0 млрд. років збереглися кокоїдні і ниткоподібні бактеріальні форми. У глинистих шарах виявлені копальні симбіози водоростей і бактерій, зокрема залишки ціанобактеріальних матів та інших різновидів мікробних біоплівок, що свідчить про колись поширену тут бактеріальну флору. Серед базальтових лав в Ісландії виявлені також біоморфні структури, мінералізовані глинистими силікатами селадонітового і смектит-селадонітового складу. Лави були занурені нижче рівня підземних вод і піддавалися впливу низькотемпературних прісних підземних джерел. Деякі з виявлених біоморфних структур близькі за розмірами бактеріям і їхнім колоніям, мінералізованих в інших умовах. Серед них присутні різноманітні морфологічні форми: палички, кулі, нитки, півсфери, плівки. Перераховані структури трапляються окремо або утворюють різноманітні асоціації, зазвичай складені глинистою речовиною. Цікаво відзначити, що в елементному складі виявлених біоморфних структур калію набагато більше (до 7-8%) порівняно з фоновим вмістом цього елемента (0,2-0,4%) у базальтах. Відомо, що калій відіграє найважливішу роль в метаболізмі живих організмів і міг акумулюватися в процесі життєдіяльності мікроорганізмів у шаруватих силікатах.
У перетворенні глин великого значення надають так званим "силікатним бактеріям", які відносять до роду Bacillus (рис. 5). Припускається, що "силікатні бактерії" здатні використовувати енергію хімічних зв'язків глинистих мінералів для виробництва власної органіки і синтезу АТФ. Показано, що силікатні бактерії можуть діставати з різних глинистих мінералів окремі іони, необхідні для їхньої життєдіяльності (К, Mg, Na, Fe, Si). Найлегше витягуються рухливі катіони міжшарового простору, наприклад калій. Цей процес зазвичай супроводжується збільшенням основних шарів мінералів, але в цілому мінералогія глин не змінюється.

Рис. 5. Силікатні бактерії, що ізольовані із палигорськіту
(А) Черкаського родовища та бентоніту (Б) Курцивського родовища
(фото авторів)
Відомий також ряд інших мікроорганізмів, що активно беруть участь у перетворенні глинистих мінералів.
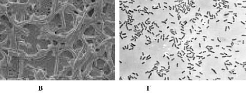
Наприклад, встановлено, що при розвитку ацидофільних сірчаних бактерій виду Thiobacillus thiooxidans у стерильному середовищі, що містить кимберлит, з мінералу вилуговуються Mg, Ca та Si, але інтенсивніше інших Mg, що призводить до формування смектитових шарів. Передбачається, що глинозуванню мінералу великою мірою сприяє сірчана кислота, що накопичується Thiobacillus thiooxidans (рис. 6). У природі протікання цих процесів проходить дуже повільно, а сірчані бактерії різко прискорюють цей процес.

Рис. 6. Thiobacillus thiooxidans: А — електронна мікроскопія (х20000);
Б — електронна мікроскопія (х5000); В — в біоплівці; Г — світлова мікроскопія (х1000)
Таким чином, бактерії є активними й масовими учасниками геохімічного колообігу глинистих мінералів. При цьому вони виконують функцію біогенних каталізаторів природних процесів. Бактерії можуть використовувати мінеральний субстрат як донор або акцептор електронів, переводячи енергію хімічних зв'язків в енергію АТФ. Окремі хімічні елементи глин можуть використовуватися в метаболічних реакціях.
Незаслужено мало уваги надають вивченню особливостей мікробної екології природних глинистих мінералів. Еволюційно сформований зв'язок прокаріотів із глинами не виявляє тенденції до послаблення в сучасних умовах. Ряд мікроорганізмів прекрасно існує в глинах, використовуючи у своїй життєдіяльності їхні мінеральні сполуки та протекторні властивості (рис. 7).

Рис. 7. Бактерії, що колонізують бентонітову глину (фото авторів)
Очевидно, що механізм взаємодії мікроорганізмів з глинами є складним, еволюційно сформованим процесом, котрий не обмежується забезпеченням живих організмів певними мінералами, необхідними для їхньої життєдіяльності. Оскільки автохтонна мікрофлора глин є значною частиною біосферної екосистеми, її ширше вивчення здатне розширити уявлення про мікробну екологію біосфери в цілому.
Не викликає сумнівів, що мікробний пейзаж глиняних природних екологічних систем формується з моменту утворення конкретних алюмосилікатних осаджень і проходить складний процес еволюції до становлення стійких геомікробіоценозів. Їхні мікробні компоненти здатні оптимізувати умови для своєї життєдіяльності, використовуючи при цьому як власний біосинтетичний потенціал, синергетично зростаючий в консорціумі, так і енергетичний і хімічний потенціали глинистої матриці. Відповідно, глини насичуються не лише живими клітинами мікробних спільнот, але і продуктами їх життєдіяльності. Крім того, неминуча модифікація складу і структури глинистої основи за рахунок життєдіяльності мікроорганізмів. Тому вельми помилковим є традиційний розгляд природних глин як полімінеральних утворень, що складаються з одного або декількох шаруватих алюмосилікатів, які містять між шарами катіони багатьох металів. Глини слід розглядати як складні мінерально-органічні біогеосистеми, що складаються з мінеральної основи, міцно з'єднаних з нею стійких полікомпонентних мікробних біоценозів і синтезованих автохтонною "глиняною" мікробіотою органічних сполук.
У кожній конкретній глиняній екосистемі еволюційно формуються умови, оптимальні для її облігатних мешканців. Разом з тим, ці умови можуть виявитися неприйнятними для життя інших мікроорганізмів, адаптованих до проживання в інших екосистемах, зокрема глиняних. Залежно від складу глини, наявності в ній домішок різних сполук, серед них і біогенної природи, вона може мати різний вплив на різні групи мікроорганізмів. Життєдіяльність мікроорганізмів може бути генетично запрограмованою на екологічні умови системи їх проживання, зокрема на її склад, як джерело життєво необхідних елементів.
Літотрофні прокаріоти, що є ключовим компонентом облігатних мікробіоценозів глиняних екосистем, відіграють роль первинних продуцентів. Вони вводять в біологічний колообіг речовини, перш за все неорганічної природи, і служать харчовим субстратом величезній масі інших організмів, як прокаріотичної, так і еукаріотичної природи. Цікаво, що ряд еукаріотів, які співіснують в єдиній глиняній екосистемі з літотрофними прокаріотами, воліють замість безпосереднього харчування прокаріотами, розводити їх живі клітини всередині себе, використовуючи їх не тільки як поживний субстрат, але і як додатковий корисний метаболічний орган (рис. 8).

Рис. 8. Амеби із глиняного консорціуму, що використовують для життєдіяльності літотрофні бактерії (фото авторів)
Проведені нами дослідження показали, що глини рясно заселені різноманітним мікробним співтовариством, в якому успішно співіснують як прокаріоти, так і еукаріоти. Облігатні мікробні спільноти являють собою стійкі симбіози різноманітних бактерій, грибів і найпростіших, що характеризуються унікальною резистентністю до несприятливих факторів зовнішнього середовища. Зокрема, вони виживають при екстремально високих значеннях температури, відрізняються резистентністю до антибіотиків і багатьох інших антимікробних сполук, прекрасно розвиваються в мінеральних середовищах при відсутності органічних сполук, довго зберігають життєздатність в екстремальних умовах проживання.
На мікрофотографіях (рис. 9) видно дивовижне розмаїття морфологічних форм мікроорганізмів, ізольованих із глин Курцивського (Крим) і Дашуковського (Черкаська область) родовищ.

Рис. 9. Мікроорганізми, що заселяють глини: А-Л — мікроорганізми, ізольовані із глини Курцивського родовища; М-Н — мікроорганізми, розповсюджені в глині Дашуковського родовища (фото авторів)
Цікаво, що у всіх досліджених нами зразках глин були виявлені нанорозмірні клітиноподібні структури, морфологічно схожі і з нанобамі, які в останні роки привертають велику увагу вчених (рис. 10).

Рис. 10. А — нанобоподібні структури, виявлені в глині; Б — симбіоз
бактерій з нанобоподібними структурами (фото авторів)
Наноби (рис. 11) — суперекстремальні мікроорганізми із надмалими розмірами (від 20 до 150 нм). Вони відкриті Робертом Фолком (США, Техаський університет) в 1990 р. у кальцитах гарячих джерел. Автор дійшов висновку, що наноби убіквітарні.

Рис. 11. Наноби
Наноби здатні розмножуватися, що дозволяє розглядати ці структури як незвичайну форму життя (можливо, первинну форму життя, яка розташовується на межі живого і неживого). Разом із тим спосіб їх самовідтворення повністю ще не зрозумілий.
В 1998 році Національна академія наук США надрукувала звіт "Граничні розміри дуже маленьких мікроорганізмів", згідно з яким найменший розмір мікроорганізма повинен бути не менше 200 нм для того, щоб клітина могла вмістити набір необхідних білків, рибосоми і ДНК. Наноби є меншими, хоча й морфологічно варіабельні. Оскільки, клітини нанобів занадто малі для розміщення в їхній цитоплазмі полірибосомального комплексу, теоретично в них не можуть відбуватися процеси синтезу білків, зокрема ферментів і структурних білків мембран. Проте є інформація про виділення нанобної ДНК і визначення послідовності нуклеотидів у геномі. Клітини нанобів характеризуються поліекстремофільністю і здатні переходити в "сплячий" стан шляхом утворення оболонки з солей кальцію. Кальцієва сфера, мабуть, є також і каталізатором біохімічних процесів, що відбуваються всередині клітин нанобів, зокрема процесів реплікації.
Схоже, що наноби дуже поширені. В останні роки з'являється все більше повідомлень про виявлення нанобів у різних екосистемах геосфери, гідросфери, біосфери (включаючи тканини та внутрішні середовища організмів тварин і людини). Вони виявлені навіть в марсіанських метеоритах.
Припускають, що з нанобами, можливо, пов'язана різноманітна патологія людини (каміння, атеросклероз, катаракта та ін.). На них утворюються антитіла, які не інактивують нанобів, але призводять до хронічних запалень. Оскільки наноби мають дуже малу швидкість розмноження, вважають, що нанобна патологія починає проявлятися лише у віці 35-40 років.
Поки питання про природу нанобів дискусійні, але інтенсивно вивчаються в багатьох мікробіологічних лабораторіях світу. Якщо ці форми матерії не є артефактами і наноби являють собою особливу групу живих організмів, то вони цікаві навіть не стільки своїми надмалими розмірами, скільки відсутністю у них певних структур, наявність яких раніше вважали обов'язковими для життя мікроорганізмів.
Важливим питанням є вивчення механізму впливу різних глин на життєдіяльність мікроорганізмів. Незважаючи на зростання інтересу до питань взаємодії глинистих мінералів з мікроорганізмами, досліджень, присвячених цій проблемі, поки небагато. В основному вони належать до геологічної та сільськогосподарської мікробіології. Зокрема, в геології основну увагу надають здатності окремих бактерій вилуговувати іони металів і кремнію з різних гірських порід з подальшим можливим формуванням (при наявності для цього оптимальних умов) алюмосилікатів.
Оскільки окремі прокаріоти можуть здійснювати біотичне вивітрювання гірських порід, схоже з абіотичним процесом формування глинистих осадів, але яке відбувається значно вищими темпами, привертає увагу можливість створення штучних біофабрик по виробництву мінералів заданого складу. У рослинництві зростання інтересу викликають "силікатні" бактерії, що збільшують урожайність сільськогосподарських культур.
Встановлено, що деякі глини можуть гальмувати за певних умов ріст окремих видів бактерій (Desulfovibrio vulgaris,Escherichia coli, Pseudomonas sp., бульбочкових бактерій та ін.), що пов'язують із високою концентрацією в досліджених зразках глин алюмінію.
У свою чергу, результати інших досліджень свідчать про стимуляцію окремих видів бактерій глинами. Наприклад, встановлено стимуляцію каолінітом представників виду Pseudomonas mendocina. Виявилось, що цей організм здатний активно адсорбувати слідову кількість заліза з глини. При цьому відбувалося розчинення Si і Al, що входять до складу глинистого мінералу.
Показано, що монтморилоніт і палигорськіт колоїдної дисперсності в концентрації 0,2-1,0% істотно стимулюють ріст фосфатмобілізуючих ґрунтових бактерій виду Bacillus subtilis. Підвищення концентрації глинистих мінералів до 2% супроводжується інгібуванням росту, що дослідники пов'язують з сорбцією на частинках мінералів глюкози і фосфату і зниженням за рахунок цього поживної цінності середовища. Ці ж мінерали впливали на ріст і хемотаксис бульбочкових бактерій виду Bradyrhizobium japonicum.
На наш погляд, інгібуючий вплив глин на мікроорганізми, швидше за все, зумовлений різноманітними домішками, які часто містять глинисті мінерали за рахунок їхньої високої сорбційної активності. Наші багаторічні дослідження показали, що глибоко очищені водні гелі бентоніту і палигорськіту надають виражений позитивний вплив на життєдіяльність мікроорганізмів різноманітних таксономічних груп. Нам не вдалося виявити жодного випадку пригнічення життєдіяльності мікроорганізмів.
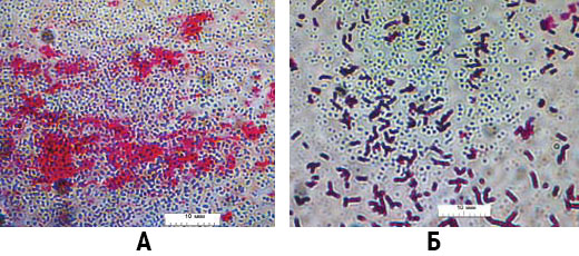
Певний інтерес викликає вплив глин на мікроорганізми інших екологічних систем, перш за все, мікробіоценози людини, що відіграють виняткову роль у підтримці її здоров'я. Оскільки алюмосилікатні мінерали, зокрема смектити, досить широко використовуються в складі ветеринарних і медичних препаратів, переважно як ентеросорбенти, їхній вплив на мікрофлору травного тракту людини і тварин має велике значення.
Наші дослідження в цьому напрямку показали стимулюючий вплив водних гелів бентоніту і палигорськіту на життєдіяльність облігатних представників кишкового біоценозу людини, зокрема біфідобактерій, пропіоновокислих бактерій, лактококів і лактобацил. Глинисті мінерали не тільки помітно активізують розвиток досліджених бактеріальних симбіонтів людини, але також значно покращують їхню життєстійкість у несприятливих умовах проживання (рис. 12).

Рис. 12. Симбіотичні бактерії людини в гелях бентоніту та палигорськіту (фото авторів)
Таким чином, існує тісний, еволюційно зумовлений зв'язок між світом мікробів і глинистими мінералами літосфери та гідросфери. Цей зв'язок має величезну роль у глобальних геобіохімічних процесах, що протікають на нашій планеті. Взаємодія мікроорганізмів із глинистими мінералами є одним із найважливіших питань мегабіологіі, оскільки масштабна роль мікробіоти в постійному формуванні та перетворенні глин, що займають до 11% літосфери, є безперечною.
Вкрай важливим питанням є розробка ефективних методів для практичного використання феномена взаємодії глинистих мінералів з мікроорганізмами.
У мікробіології препарати на основі глин, зокрема, можуть бути використані для оптимізації умов культивування мікроорганізмів, особливо облігатних анаеробів, виявлення ентеровірусів у клінічному матеріалі та об'єктах зовнішнього середовища та ін. Стимулюючі та протекторні властивості глиняних продуктів щодо відповідної мікрофлори, безперечно, знайдуть своє застосування для підвищення продуктивності мікробіологічних процесів у біотехнології.
Використання препаратів, що містять спеціально оброблені глинисті мінерали, буде корисним і в медицині, оскільки більшість сучасних хвороб людини тісно асоційовані з мікробними факторами.